Шматовская Виктория - врач стоматолог-ортопед
имплантат область 11 зуба
Коронка с опорой на имплантат в области центрального зуба
Защитные колпачки
Полный съёмный протез на верхней челюсти и полный условно-съёмный протез на нижней челюсти с опорой на имплантаты.
ДИСКОЛОРИТ
ВИНИРЫ. МИНИМАЛЬНАЯ ИНВАЗИЯ.
Модель гипсовая
Имплантация на нижней челюсти. Металлокерамическая конструкция с опорой на имплантаты. Зачем оставлен один зуб на нижней челюсти, почему не удалили?
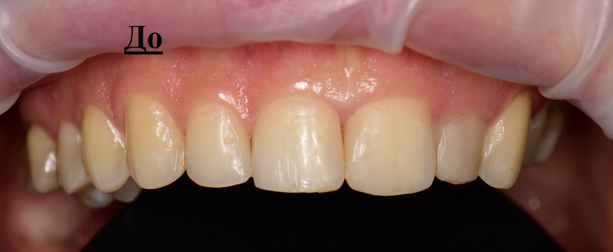
Нарушена форма, наличие пломб
Виниры
Беззубая верхняя челюсть
Полная адентия и успешная реабилитация!
Мультиюниты
Протезирование беззубой верхней челюсти с опорой на имплантаты система Dentium
Дисколорит
Искусство должно быть не заметным!!!
Аномаия положения зубов
Виниры с 14-24 и 34-44
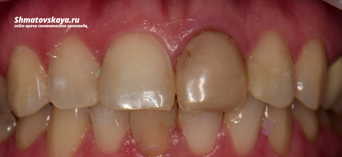
Стираемость, сколы на центральных зубах
Эстетические реставрации ( виниры, E-max коронки и пломбы).
Стираемость зубных рядов
Металлокерамические коронки на верхней челюсти. Бюгельный протез на нижней челюсти.
Multi
Металлокерамическая конструкция на балке на 4-ёх имплантатах (Osstem) верхняя челюсть
Множественные реставрации из пломб.
Виниры. Эстетическая улыбка.
Множественные пломбы.
Виниры на центральных зубах
введите описание
Протезирование фронтального зуба на имплантате
Десневой манжет
Металлокерамические коронки с опорой на имплантаты с винтовой фиксацией (система Osstem).
Мультиюниты
Металлокерамический мостовидный протез на нижней челюсти на балочной конструкции с винтовой фиксацией с опорой на 4-ёх имплантатах ( система Osstem).
Альвеолярный отросток нижней челюсти
Беззубые челюсти. Протезирование при полной вторичой адентии.
Панорама
Протезирование зубов на нижней челюсти на 4 имплантатах (All-on-4). Концепция Ankylos + SmartFix.
Зубы
Восстановление анатомической формы зубов с помощью металлокерамических коронок.
3- Д снимок
Интересный клинический случай. Бюгельный протез с опорой на мини-имплантаты (Dentium).
Мини-имплантаты
Протезирование при полном отсутствие зубов. Клинический случай №1.