Шматовская Виктория - врач стоматолог-ортопед

Искусство должно быть не заметным!!!

Дисколорит
эстетика
Циркониевые коронки


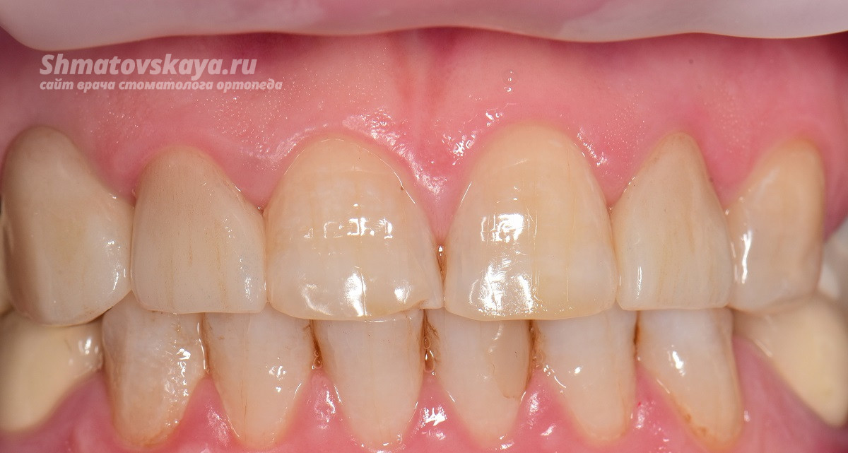
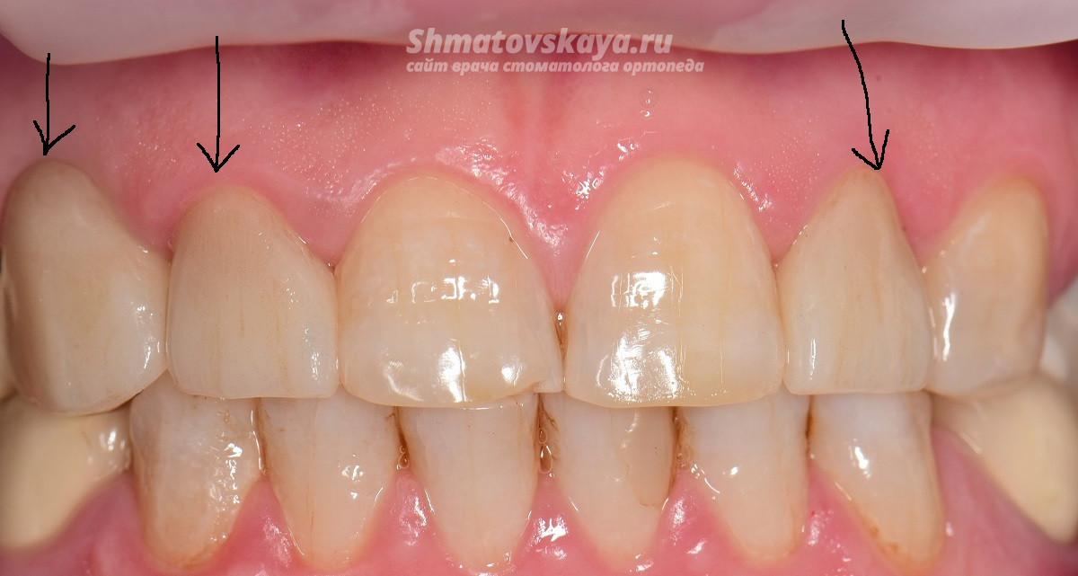
Жалобы: на эстетический недостаток, несостоятельную форму центральных зубов(12,22), дисколорит зубов (12,22). 

Назначено: КЛКТ: по результатам составлен план лечения:

 лечение 22,12 зубов

13 - удаление ( киста)

отсроченная имплантация в область 13

изготовить коронку с опорой на имплантат в область 13

изготовить коронки на 12,22

Задача врача и техника  подобрать цвет к другим своим зубам, которые являются витальными ( живыми). Цвет зубов у пациентки сложный, с разными оттенками, в стандартную шкалу Vita не вписывается.

Результат лечения:

установлены циркониевые коронки на 12, 22 зубы и циркониевая коронка с опорой на имплантат в область 13 ( система Dentium).  

Вернуться обратно