Шматовская Виктория - врач стоматолог-ортопед

Протезирование фронтального зуба на имплантате

введите описание
Коронка на имплантате
Улыбка
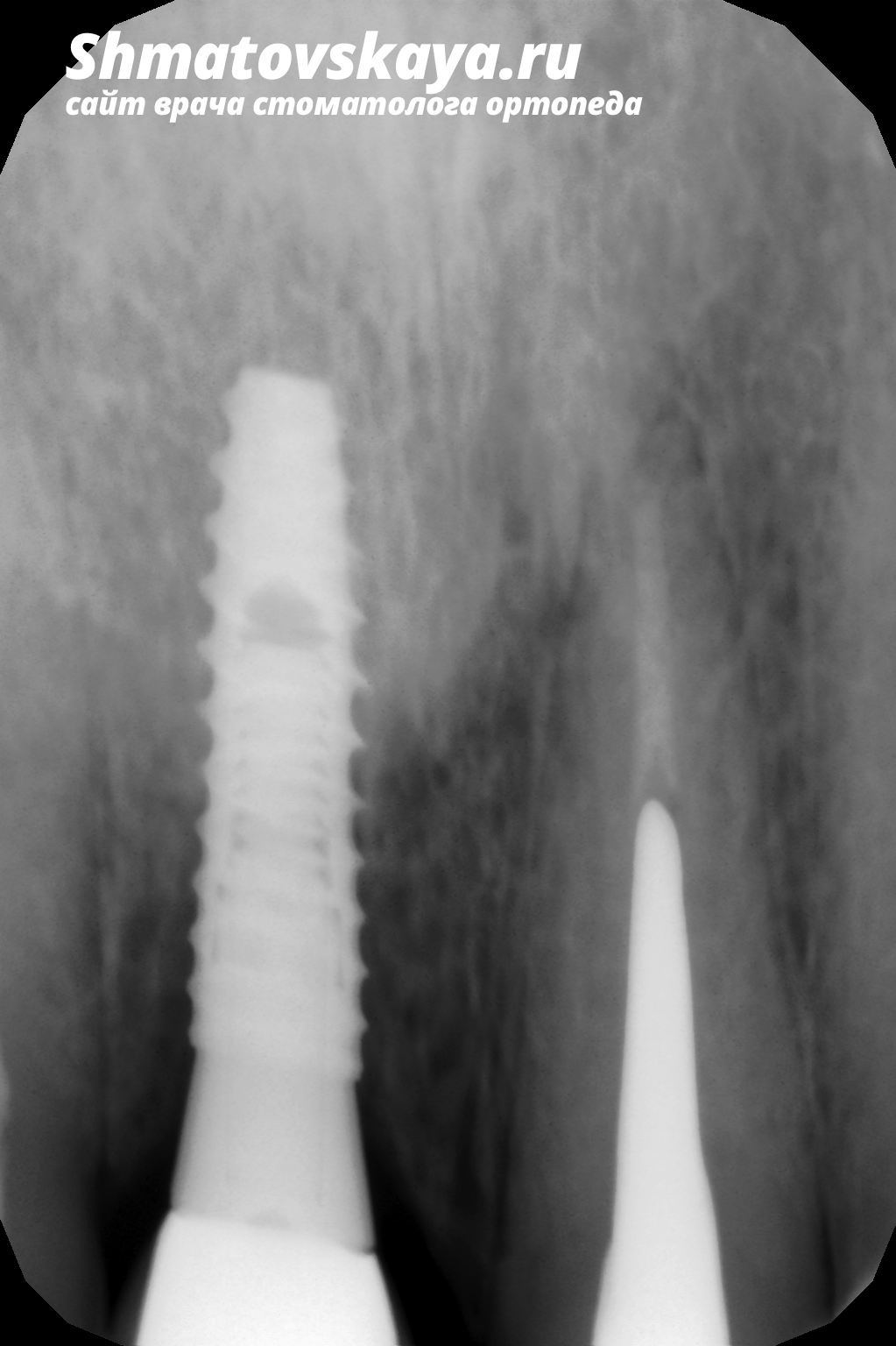
Контрольный снимок


Жалобы: на отсутствие 11 зуба (правого центрального резца), разрушение коронки 21 зуба (левого центрального резца).

Лечение: 

1. В область отсутствующего 11 зуба был установлен имплантат (система Dentium).

2. Разрушенный 21 зуб был восстановлен литой культевой вкладкой  покрыт временной пластмассовой коронкой.

3. Через 3 месяца были изготовлены металлокерамическая коронка на имплантате с винтовой фиксацией на 11 зуб (правый центральный резец)  и металлокерамическая коронка на 21 зуб (левый центральный резец).

Вернуться обратно