Шматовская Виктория - врач стоматолог-ортопед

Интересный клинический случай. Бюгельный протез с опорой на мини-имплантаты (Dentium).

3- Д снимок
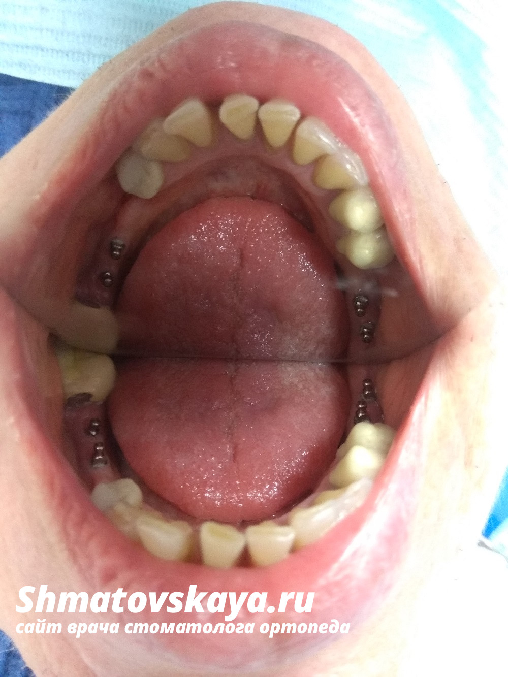
Мини-имплантаты
Бюгельный протез
Бюгельный протез с опорой на имплантаты


Пациентка Е. обратилась  жалобами на частичное отсутствие зубов на нижней челюсти, нарушение функции жевания. Ранее на нижнюю челюсть был изготовлен съёмный пластиночный протез с удерживающими кламмерами. Пациентка Е. не смогла привыкнуть к данной конструкции. Проведена совместная консультация с хирургом-стоматологом, на которой был принято оптимальное решение с учётом пожеланий пациентки, а также клинических и технических возможностей в данном клиническом случае:

1. Установка мини-имплантатов.

2. Изготовление бюгельного протеза, с максимально комфортной дугой, без опорно-удерживающих кламмеров с опорой на мини-имплантаты.

Результат лечения: данная конструкция полностью удовлетворила пожелания пациентки Е. и требования доктора.

Бюгельный протез с опорой на мини-имплантаты стабилен  при всех движениях нижней челюсти, функционален, удобен, при ношении происходит быстрая адаптация пациентов к таким  ортопедическим конструкциям.

Вернуться обратно