Шматовская Виктория - врач стоматолог-ортопед

Виниры

Нарушена форма, наличие пломб
Дисколорит
Улыбка
Виниры, эстетика
Красота


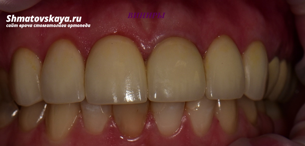
Пациентка обратилась с целью установки виниров на центральную группу зубов. 

Жалобы: на нарушение формы зубов, дисколорит цвета зубов, наличие пломб, нуждающихся в замене.

Был составлен план лечения: замена пломб, профессиональная гигиена полости рта, принято решение изготовить виниры на 13,12,11,21,22,23 зубы.  

Рекомендации: осмотр 1 раз в 6 месяцев, профессиональная гигиена.

Так как виниры были установлены на 6 зубов ( 13,12,11,21,22,23), цвет виниров был выбран ближе к цвету своих зубов.

Вернуться обратно