Шматовская Виктория - врач стоматолог-ортопед

Виниры. Эстетическая улыбка.

Множественные реставрации из пломб.
Дисколорит
Улыбка с пломбами
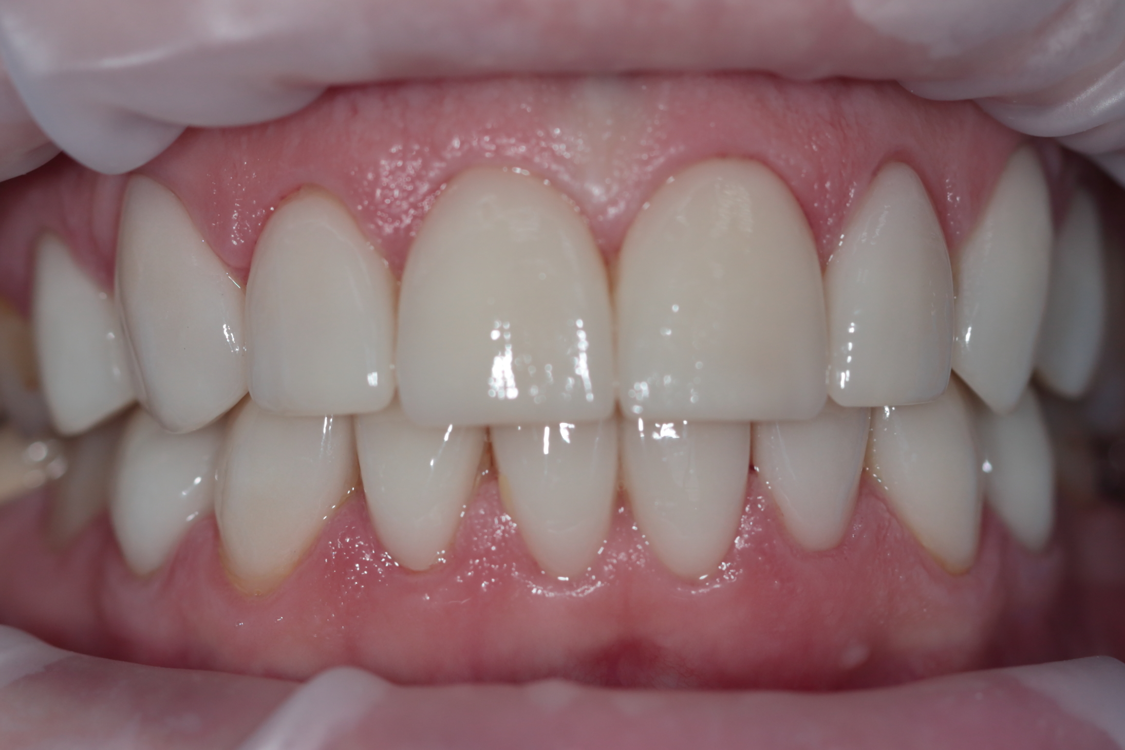
Улыбка с винирами
Белоснежная улыбка
Эстетичная улыбка
Красивая улыбка
Виниры


Жалобы пациента: эстетический недостаток центральных зубов, наличие "старых реставраций из пломбировочного материала", темный цвет зубов, нарушение формы зубов.

Пожелания пациента: получить эстетичную и красивую улыбку.

Лечение:

  • диагностические мероприятия;
  • профессиональная гигиена полости рта;
  • коррекция "старых пломб";
  • изготовление 16 виниров на верхнюю челюсть и нижнюю челюсть.

 

 

Вернуться обратно