Шматовская Виктория - врач стоматолог-ортопед

Задумывались ли Вы, как добиться такой же улыбки, как у звезд с телеэкранов? Секрет идеально ровной и белоснежной улыбки прост - это виниры. Сегодня виниры являются нормой в западных странах. В настоящее время добиться такого результата может каждый. Целый ряд клиник  в Петрозаводске оказывает услугу по установке виниров. Хотя виниры безумно популярны и являются одним из трендов современной эстетической стоматологии, необходимо аккуратно и ответственно подходить к выбору специалиста стоматолога-ортопеда, который будет их устанавливать. Доверьте свою улыбку профессионалам. Для личной консультации по вопросу установки виниров, на ваши зубы, записывайтесь ко мне на предварительную консультацию по установке виниров.

 

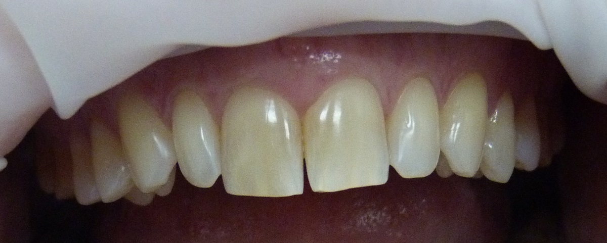
Пациента не устраивает форма центральных резцов ( 12,11,21,22 зубы)

Преимущества виниров:

1. Эстетические качества

Виниры позволяют получить идеальный эстетический результат. Цвет, форма, текстура поверхности индивидуализируется за счет внутреннего и наружного подкрашивания и коррекции цвета при фиксациии винира на цемент, что позволяет достичь высокоэстетичный результат.

2. Долговечность и сохранение тканей зуба

Керамические виниры обладают высокой устойчивостью к абразии и цветостойкостью. При препарировании под виниры снимается небольшой объём тканей зуба (0,5 - 0,75 мм).

3. Прочность

Новые поколения фиксирующих материалов позволяют сделать прочное сцепление зуба с виниром. Коэффициент термического расширения винира одинаков с тканями зуба. Ни одна другая реставрация не может быть столь стабильной и долговечной.  Известно, что винир до фиксации с тканями зуба очень хрупкий, но после адгезивной фиксации к тканям зуба он приобретает высокую прочность на разрыв и изгиб. 

4. Пародонт

Нет необходимости прятать край вина под десну, как вестибулярный край коронки. В результате удается сохранить здоровье тканей пародонта. Десна в области шейки зуба здоровая, нормального цвета.

Минимальные недостатки виниров:

1. Сошлифовывание тканей зуба (минимальное 0,5-0,75 мм) , но при любом лечение зубов (кариес, пульпит, реставрация пломбировочным материалом и т.д.) происходит гораздо большее снятие тканей зуба.

2. После фиксации винира его нельзя изменить. Можно только сошлифовать и изготовить новый.

3. Реставрация при помощи виниров требует больших усилий со стороны врача, а также техника, что делает стоимость виниров относительно высокой.

Коррекция формы  зубов (12,11,21,22) с помощью виниров

 

Оставьте комментарий